当院の呼吸器外科の特徴
呼吸器外科診療全般に対応
当院では、肺や気管支など呼吸器に関わる疾患の診療を行っています。
咳や痰、息切れ、胸の痛みなどの症状の診察から、胸部レントゲン検査などによる評価を行い、必要に応じて専門医療機関とも連携しながら診療を進めていきます。
呼吸器の症状は風邪のような軽い症状から、肺炎や肺がんなどの重大な疾患まで幅広い可能性があります。気になる症状が続く場合には、早めの受診をおすすめします。
肺がんの早期発見・診断に取り組んでいます
肺がんは日本において死亡原因の上位を占める疾患の一つですが、早期に発見することで治療の選択肢が大きく広がります。当院では、胸部レントゲン検査や症状の評価を通じて、肺がんの早期発見に努めています。
異常が疑われる場合には、CT検査や専門的な治療が可能な医療機関へ迅速にご紹介し、適切な診断・治療につなげます。
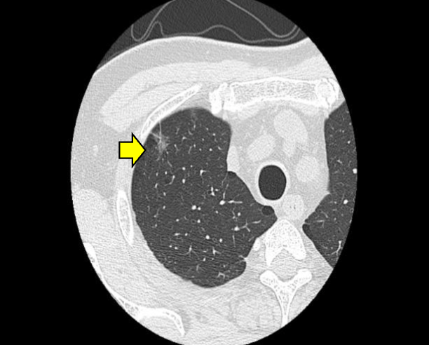
あなどれない肺がん ― CT検査の必要性
「がん(癌)」の始まりはたった1個のがん細胞です。1個のがん細胞が2個、4個、8個……と細胞分裂して増えてゆくわけですが、だいたい30回ほどの細胞分裂で1cmの大きさのがんが出来上がります。この時、この1cmの腫瘍の中には109個(10億個)のがん細胞が存在します。
通常のレントゲン写真で異常を指摘できる肺がんの大きさはおおよそ1cmと言われていますが、この段階で既に10億個のがん細胞が巣食っていることになります。ちなみに、早期肺がんの大きさは2cmであり、これはちょうど1円玉の大きさに匹敵します。2cmであっても決して油断できない大きさであることが理解できると思います。
CTでは1cm以下の肺がんを検出することが可能となります。CT検査はまた「すりガラス様陰影」を呈する肺がんの検出にも優れています。2cmまでの小さな段階で見つけることができれば、がんであっても肺を小さく切って(縮小術と言います)、できるだけ肺機能を温存させる術式の選択が可能な場合が多いです。均一型であれば、1〜1.5cmまでは切らずに経過観察を行い、さらなる増大がみられた時点で治療を行う方針がとられています。

すりガラス陰影を呈する肺がんは普通のレントゲンでの検出・評価は困難な場合が多く、CT検査での評価を行うことが大事です。50歳を超えた方で喫煙される方、重喫煙歴のある方には普通のレントゲン検査だけでなく、CT検査をお勧めします。
アスベスト(石綿)関連疾患の相談にも対応
アスベスト(石綿)による健康被害は大きな社会問題の一つです。アスベストに安全量はなく、少量のアスベスト繊維を吸い込むことで発病の危険性があります。
とりわけ、曝露されてから30〜40年を経て発症する悪性疾患として、胸膜に発生する「胸膜中皮腫」や肺に発生する「アスベスト関連肺がん」があり、近年増加しています。増加傾向は今後も2050年頃まで続くであろうと考えられています。
日本におけるアスベスト関連の死者数は年間約2万人と推計されており、職業曝露によるアスベスト関連肺がんの患者数は中皮腫の11.5倍にものぼるとされています。
アスベスト曝露の危険性のある職業や居住環境の一部を以下に記載しましたが、若い頃に遡って携わったことのある方は、一度診察を受けて頂くとよいと思います。心配な方は遠慮なくご相談ください。
アスベスト曝露の危険性のある職業・居住環境
- 建築業・解体作業
- 造船業
- 自動車修理・整備業(特にブレーキやクラッチ板の作業)
- 鉄鋼業(塗装、吹き付け、耐火耐熱工事、プレハブ工事、配管工事、溶接、ボイラー修理など)
- 宝石・金属細工業
- 電気製品製造(電池、絶縁テープ、コンデンサーなど)
- 石材業
- ガラス繊維を扱う職業
呼吸器外科でよくある症状
呼吸器外科では、以下のような症状の患者さまが多く来院されています。
呼吸器の症状
- 咳が続く
- 痰が多い
- 血の混じった痰(血痰)
- 息切れ
- 呼吸が苦しい
胸部の症状・その他
- 胸の痛み
- 胸の違和感
- 発熱が続く
- 長引く風邪症状
- 声がかすれる
- 体重減少
- 健診の胸部レントゲン異常
このような症状が続く場合は、呼吸器疾患が隠れている可能性があります。
呼吸器外科で扱う主な疾患
呼吸器の症状は、以下のような疾患によって引き起こされることがあります。
- 肺がん
- 転移性肺腫瘍
- 肺炎
- 気管支炎
- 慢性閉塞性肺疾患(COPD)
- 気管支喘息
- 間質性肺炎
- 石綿肺(アスベスト肺)
- 胸膜中皮腫
- 肺結核
- 気胸
- 胸膜炎
- 膿胸
- 胸水貯留
- 肺気腫
- 縦隔疾患(縦隔腫瘍・縦隔炎・縦隔膿瘍など)
- 気管腫瘍
症状や検査結果に応じて、必要な検査や治療が可能な専門医療機関と連携しながら診療を行います。
担当医
太田 安彦
(おおた やすひこ)
資格
- 日本外科学会専門医
- 日本呼吸器外科学会指導医・専門医・評議員
- 日本胸部外科学会指導医
- 呼吸器内視鏡学会専門医
- 日本医師会認定健康スポーツ医
- 肺がんCT検診認定機構認定医
- 金沢大学医薬保健学域医学類 臨床教授(学外)
経歴
- 金沢大学医学部卒業(1987年)
- 金沢大学附属病院、石川県立中央病院、福井県立病院などで研修(外科専攻)
- 金沢大学附属病院 第1外科助手(1995年)
- 同 講師(2000年)
- 石川県立中央病院 呼吸器外科診療部長(2001年)
- 金沢大学附属病院 准教授(2004年)
- 国立病院機構金沢医療センター 呼吸器外科部長(2007年)
- 同センター がん診療部第1部長(2016年)

